ŞİKAYETLER VE HASTALIKLAR

Randevu Alın
Kullanışlı Bilgiler

Pazartesi - Cuma
Cumartesi - Pazar - Kapalı

+90 216 227 72 72
info@saitnaderi.com.tr

Adres
Küçükbakkalköy, Işıklar St. No:37/2 Ataşehir / İSTANBUL

BELDE OMURGA KANALI DARLIĞI

1. Bel omurgasında darlık ne demek?

Tıbbi anlamı “Lomber dar kanal” olan bu durum, bel omurgasının içindeki, sinirlerin geçtiği kanalın daralması demektir. Bu durumun doğal sonucu sinirlere bası yaparak günlük aktiviteleri etkilemesi ve kısıtlamasıdır.

2. Lomber dar kanal hangi yaşlarda görülür

Lomber dar kanal bazen tamamı ile doğuştan gelen bir hadise şeklinde genç ve orta yaşlarda görülebilinirse de, genellikle yaşlılık döneminde ortaya çıkan bir durumdur. Omurganın yaşlanması sonucu ortaya çıkar ve bu darlık sinirsel yapılara bası ve bazen de omurga instabilitesi (laçkalaşması) ile sonuçlanabilir.

3. Lomber dar kanal belirtileri nelerdir?

Bel ağrısı ve bel hareketlerinde kısıtlama ilk bulgudur. Daha sonra, belirli mesafe yürüdükten sonra bacaklarda ağrı, uyuşma, kramp girme veya cansızlık gelişir. Bulgular başta uzun mesafe yürüdükten sonra olurken, ağrı ve uyuşma nedeni ile katedilen mesafe günden güne kısalır. Hastaların çoğu öne eğik yürürken daha rahat ediyorlar.

4. Lomber dar kanal teşhisi nasıl konur?

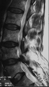
Aslında hastaların şikayetleri oldukça tipiktir. Bir süredir bel ağrıları olan, son 1-2 yılda giderek daha kısa mesafeler yol alınması tipiktir. Hastalar önce 500-600 metre yürürken giderek 200-300 metre, 50-60 metre yürüyebildiklerini, ağrı ve uyuşma nedeni ile 5-10 dakika dinlenemeden yola devam edemediklerini belirtirler.Hastanın kesin teşhisi bel omurgasının MR incelemesi ile konur. Bu tetkikte darlık teşhis edilir. Belde kayma veya laçkalık olup olmadığı teşhis edilir.

5. Lomber dar kanal ilaçla tedavi edilir mi?

Omurga kanalındaki darlık hafif ise, egzersiz ile tedavi edilebilir. Ancak sinirlere bası varsa mutlaka bası kaldırılmalıdır.

6 .Lomber dar kanal da basıyı kaldırmak yeterli midir

Belde bazen instabilite (laçkalık) veya kayma eşlik edebilir. Basının kaldırılması ile kayma veya laçkalaşma olasılığı artacaksa, mutlaka aynı seansta omurgayı tespit edici bir vidalama işlemi de yapılmalıdır.

7. İnterspinöz cihazlar nelerdir?

Bazen omurganın arka kısmına yerleştirilen küçük bir interspinöz cihazla omurlararası darelık biraz azaltılabilir. Bu durum genellikle basının bir seviyede olduğu, bağlardan kaynaklandığı ve genel narkoz alması sakıncalı olan yaşlı hastalarda tercih edilir.